首页 > 免疫组学 > 抗原和抗体 > 多克隆抗体 > Anti-Estrogen receptor alpha antibody (bs-0254R)

分享商品:

Anti-Estrogen receptor alpha antibody (bs-0254R)

Anti-Estrogen receptor alpha antibody (bs-0254R)

本店价:面议

会员购买享有折扣

会员价格

会员等级 会员价格
注册用户 ¥80.00
已售出 0 件|0 人评价

Anti-Estrogen receptor alpha antibody

英文名称Estrogen receptor alpha
中文名称雌激素受体α抗体
别    名Estradiol receptor; Estradiol Receptor-alpha; Estrogen Receptor 1; Atherosclerosis, susceptibility to, included; DKFZp686N23123; ER Alpha; ER; ER-alpha; ERalpha; ER[a]; Era; ESR; ESR1; ESR1_HUMAN; ESR2; ESRA; Estr; Estrogen receptor 1 (alpha); Estrogen resistance, included; HDL cholesterol, augmented response of, to hormone replacement, included; Myocardial infarction, susceptibility to, included; NR3A1; Nuclear receptor subfamily 3 group A member 1; OTTHUMP00000017718; OTTHUMP00000017719; RNESTROR.  

DATASHEET

Host:Rabbit

Target Protein:Estrogen receptor alpha

IR:Immunogen Range:501-595/595

Clonality:Polyclonal

Isotype:IgG

Entrez Gene:2099

Swiss Prot:P03372

Source:KLH conjugated synthetic peptide derived from human ER-Alpha:501-595/595 

Purification:affinity purified by Protein A

Storage:0.01M TBS(pH7.4) with 1% BSA, 0.03% Proclin300 and 50% Glycerol. Shipped at 4℃. Store at -20 °C for one year. Avoid repeated freeze/thaw cycles.

Background:Estrogen and progesterone receptor are members of a family of transcription factors that are regulated by the binding of their cognate ligands. The interaction of hormone-bound estrogen receptors with estrogen responsive elements(EREs) alters transcription of ERE-containing genes. The carboJNC terminal region of the estrgen receptor contains the ligand binding domain, the amino terminus serves as the transactivation domain, and the DNA binding domain is centrally located. Two forms of estrogen receptor have been identified, ER Alpha and ER Beta. ER Alpha and ER Beta have been shown to be differentially activated by various ligands. The biological response to progesterone is mediated by two distinct forms of the human progesterone receptor (hPR-A and hPR-B), which arise from alternative splicing. In most cells, hPR-B functions as a transcriptional activator of progesterone-responsive gene, whereas hPR-A function as a transcriptional inhibitor of all steroid hormone receptors.

Size:100ul

Concentration:1mg/ml

Applications:WB(1:500-2000)
ELISA(1:5000-10000)
Flow-Cyt(1μg/Test)
ICC(1:100)

Cross Reactive Species:Human
Mouse
.

For research use only. Not intended for diagnostic or therapeutic use.

VALIDATION IMAGES

Sample:K562 (Human)Cell Lysate at 40 ug
Primary: Anti-Estrogen receptor alpha(bs-0254R)at 1/300 dilution
Secondary: IRDye800CW Goat Anti-RabbitIgG at 1/20000 dilution
Predicted band size: 66kD
Observed band size: 63kD

Sample:
Lymph node (Mouse) Lysate at 40 ug
Primary: Anti-Estrogen receptor alpha (bs-0254R) at 1/300 dilution
Secondary: IRDye800CW Goat Anti-Rabbit IgG at 1/20000 dilution
Predicted band size: 66 kD
Observed band size: 66 kD

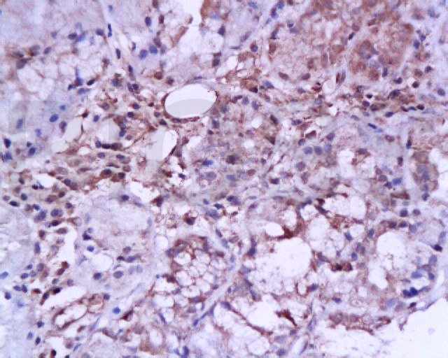
Tissue/cell: Human laryngeal carcinoma; 4% Paraformaldehyde-fixed and paraffin-embedded;
Antigen retrieval: citrate buffer ( 0.01M, pH 6.0 ), Boiling bathing for 15min; Block endogenous peroxidase by 3% Hydrogen peroxide for 30min; Blocking buffer (normal goat serum,C-0005) at 37℃ for 20 min;
Incubation: Anti-ER-alpha Polyclonal Antibody, Unconjugated(bs-0254R) 1:200, overnight at 4°C, followed by conjugation to the secondary antibody(SP-0023) and DAB(C-0010) staining

Tissue/cell:MCF7 cell; 4% Paraformaldehyde-fixed; Triton X-100 at room temperature for 20 min; Blocking buffer (normal goat serum, C-0005) at 37°C for 20 min; Antibody incubation with (Estrogen receptor alpha) polyclonal Antibody, Unconjugated (bs-0254R) 1:100, 90 minutes at 37°C; followed by a FITC conjugated Goat Anti-Rabbit IgG antibody at 37°C for 90 minutes, DAPI (blue, C02-04002) was used to stain the cell nuclei.

商品评价
  • 0%

    好评度

  • 好评(0%)
    中评(0%)
    差评(0%)
  • 全部评价(0)
  • 好评(0)
  • 中评(0)
  • 差评(0)
  • 用户晒单(0)

Anti-Estrogen receptor alpha a...

商品已成功加入购物车
<<继续购物 去结算
共执行 428 个查询,用时 0.260668 秒,在线 412 人,Gzip 已禁用,占用内存 9.236 MB